+91-20-27295681
info@techlead-india.com

Retina Image Analyzer

Digitech Ophthalmologists

Product Description :

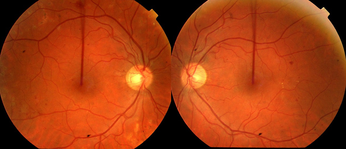
We have developed this solution for the ophthalmic industry, specifically to help an ophthalmologist view the entire retina to assess the onset or progression of retinal diseases. The human retina is imaged with a fundus camera which captures successive but overlapping fields of view. The Ophthalmologist however requires to view the entire retina. We have developed efficient and innovative algorithms to analyse, transform and merge multiple images to create a combined retinal field of view. Multiple images captured over time can also be geometrically matched and compared. This is essential to assess the progression of diseases. The application currently provides the following features:
- Creation of a panorama from multiple images to form a combined retinal field of view
- Matching multiple captured images over time
- Stereo image reconstruction
- Optic Disc/Cup analysis
- Blood vessel analysis
- Glaucoma detection

Digitech Ophthalmologists (pdf)

Digitech Ophthalmologists (ppsx)

Techlead Image Processing Tools (ppsx)

Techlead Video Analytics (ppsx)

Product Details :
  • Category : Medical Image Processing
  • Embedded System : Yes,Library Based for FUNDUS Cameras
  • Main Features : Complex Algorithms

Download Details :